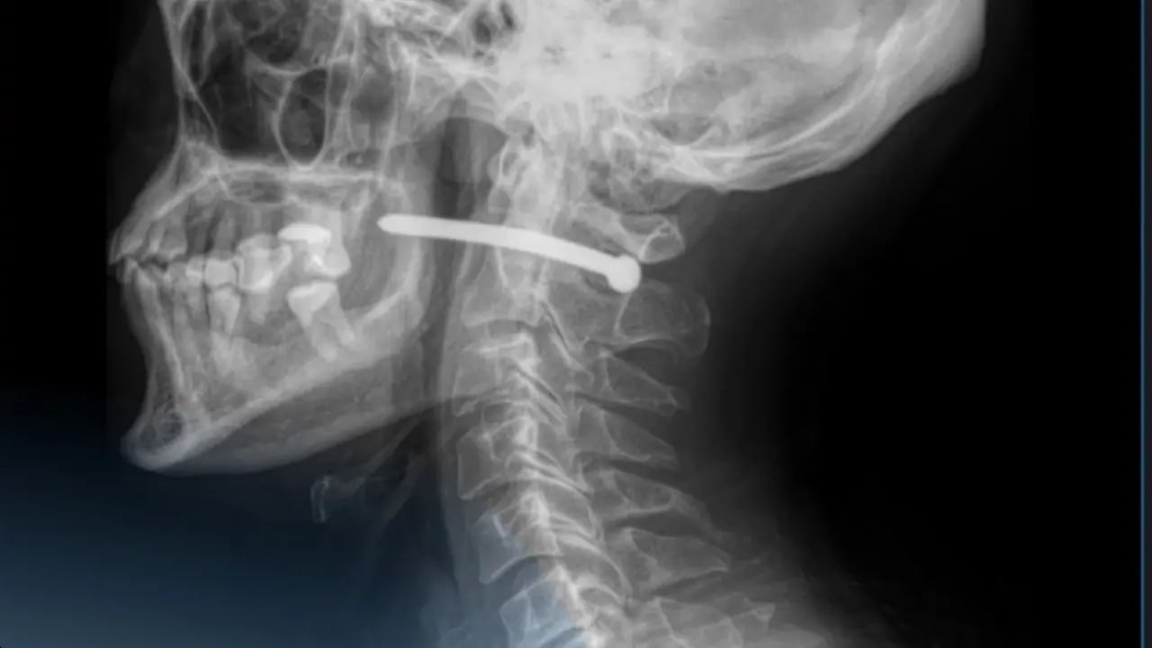
پەتروپاۆلدا كوپسالالى قالالىق جەدەل جاردەم اۋرۋحاناسىنىڭ حيرۋرگتارى 51 جاستاعى ەر ادامنىڭ موينىنداعى شەگەنى ءساتتى الىپ تاستادى، دەپ حابارلايدى Dalanews.kz.
بەلگىلى بولعانداي، وقىس جاعداي ەر ادام ۇيىندە جوندەۋ جۇمىستارىن جۇرگىزىپ جاتقان كەزدە بولعان. ابايسىزدا پنيەۆماتيكالىق تاپانشادان اتىلعان شەگە ونىڭ موينىنا كىرىپ كەتكەن.
دارىگەرلەر بوگدە زاتتى ءساتتى الىپ، جارانى تازالاپ، وڭدەگەن.
ابىروي بولعاندا، مويىن ايماعىنداعى ومىرگە ماڭىزدى تامىرلار مەن جۇيكەلەر زاقىمدانباعان.
"مويىن جاراقاتى – وتە ءقاۋىپتى. بۇل جەردە ءىرى قان تامىرلارى، جۇيكە تالشىقتارى، تىنىس الۋ جولدارى جانە جۇلىن ورنالاسقان. ءتىپتى ازداعان زاقىمنىڭ ءوزى اۋىر سالدارعا اكەلۋى مۇمكىن"، - دەيدى اۋرۋحانا دارىگەرلەرى.
مەديسينا ماماندارى قازاقستاندىقتاردى جوندەۋ جانە قۇرىلىس كەزىندە قاۋىپسىزدىك ەرەجەلەرىن قاتاڭ ساقتاۋعا شاقىردى.
